Histology within Minutes
Diagnosing cancer directly in the operating room through sectioning-free histology
The Challenge
During cancer surgery, the standard procedure for tumor margin detection, known as frozen sectioning, typically takes 40 to 60 minutes. This process involves a histology lab located outside of the operating room.
Histolution's Solution
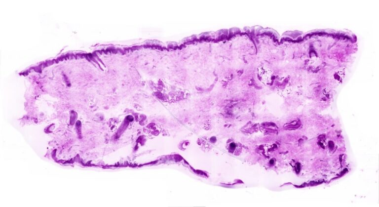
Histolution, a spin-off from Medical Laser Center Lübeck, has developed a microscope that utilizes laser technology to generate digital images of tumor samples directly within the operating room.
Advantages for Patients and Hospitals
Histolution’s innovative solution enhances the likelihood of thorough cancer removal, reducing the need for follow-up surgeries for patients.
This not only improves patient outcomes but also allows for an increase in the number of surgeries conducted within the same timeframe, resulting in cost savings for hospitals.
© Histolution GmbH 2025 All Rights Reserved.
Das Vorhaben SOFTKIT: “Verbesserung von Gerätesoftware und Färbekit eines innovativen Gewebescanners” (SeedBonus) wird gefördert durch den Europäischen Fonds für regionale Entwicklung (EFRE) und das Landesprogramm Wirtschaft 2021-2027 (LPW 2021) Schleswig-Holstein.
